В Европе загубный табак запрещен с 1992 года.

Употребление жевательного табака, среди молодежи более известного, как снюс, чревато серьезными заболеваниями. Об этом рассказали специалисты управление здравоохранения администрации Екатеринбурга.
Снюс сейчас очень популярен в молодежных кругах. Подростки вставляют «подушечки» порошка под верхнюю губу и получают никотиновый удар. Однако в Екатеринбурге уже были зафиксированы несколько случаев интоксикации и отравления снюсами среди школьников.
Медики Екатеринбурга обращают внимание, что употребление жевательного табака опасно для полости рта, слизистой, зубов, а также и для всего организма.
«Снюс это вид табачного изделия с высоким содержанием никотина и содержанием канцерогенов. Негативные эффекты использования снюса связаны как с поступлением большого количества никотина в организм, так и со способом употребления загубного табака. Никотин вызывает сужение кровяных сосудов, в результате чего ухудшается кровоснабжение внутренних органов, формируется состояние гипоксии (недостатка кислорода и питательных веществ). Специфическими последствиями употребления снюса являются воспалительные заболевания десен и губ, могут возникнуть рецессия десны (смещение уровня десны с обнажением корня зуба), эрозии десен и стоматит», - рассказал главный врач стоматологической поликлиники №12 Игорь Петров.
После масштабного исследования влияния снюса на организм в 1992 году его продажу запретили в странах ЕС. Бездымный табак серьезно влияет на цитологические изменения эпителия слизистой оболочки полости рта практически у четверти исследованных. На клеточном уровне были выявлены признаки воспаления и повреждения слизистой полости рта (лейкоплакии), которое может усугубляться при наличии канцерогенных факторов и вредных привычек. А длительное воздействие снюса может привести и к развитию опухолевой патологии слизистой оболочки полости рта.

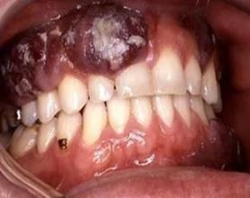
Так выглядит рак на слизистой верхней челюсти.
Лейкоплакия является наиболее распространенной из потенциально злокачественных поражений слизистой оболочки полости рта и встречается примерно в шесть раз чаще у лиц, употребляющих жевательный табак, чем у некурящих.
«Если воспаление не вылечено на ранних этапах, то развиваются более тяжелые и стойкие заболевания, - отметил онколог и начальник управления здравоохранения администрации Екатеринбурга Денис Демидов. - Соприкасаясь со слизистой ротовой полости, жевательный табак может провоцировать ее дегенеративные изменения. И это может привести не только к появлению язв на губах и деснах, заболеваниям гортани, но и к развитию опухолевой патологии и злокачественным образованиям. Зная негативные последствия применения снюс, мы должны всеми силами уберечь подрастающее поколение от пагубной привычки».
Напомним, сейчас лекции в вреде снюсов наркологи читают в школах Екатеринбурга. Они предупреждают, что концентрация никотина в одной подушечке снюса эквивалентна трем пачкам сигарет. Это может привести к интоксикации. Кроме того, снюс не подходит для тех, кто пытается бросить курить, потому что вызывают более серьезное привыкание.
Просмотров: 26985
Автор: Иван Попов