В больницу его доставили в состоянии комы.

Врачи двух больниц спасли 67-летнего екатеринбуржца от последствий «взрыва» в голове. Из-за аневризмы и массивного кровотечения мужчина потерял сознание прям за рулем, когда выезжал из двора одного из домов на Уралмаше. Прохожие, увидев неподвижного водителя в машине вызвали «скорую».
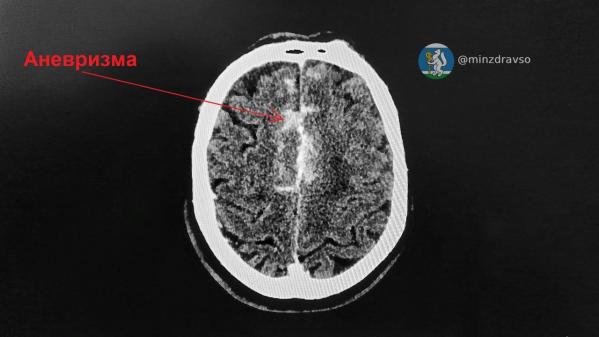
Медики доставили мужчину в состоянии комы в ГКБ №14. Специалисты провели обследования и выявили аневризму передней соединительной артерии и массивное кровоизлияние. Чтобы спасти пациента, решено было сделать ему срочную операцию в Региональном сосудистом центре на базе ГКБ №40, куда пациента экстренно доставили.
«С помощью миниатюрного титанового зажима врачам необходимо было пережать сосуды, питающие мозг, но надолго отключать кровоток нельзя. На основные действия нейрохирургу Павлу Ошуркову потребовалось три минуты, и операционная бригада буквально под тиканье секундомера успешно справилась с задачей», — сообщили в минздраве региона.
Через неделю,мужчина вернулся к семье с направлением на реабилитацию по полису ОМС.
ФОТО: минздрав региона.